Bawang merah & bawang putih mentah mampu rendahkan risiko kanser payudara

Gambar menunjukkan bawang merah dan bawang putih di atas sebuah meja.
SAN JUAN, Puerto Rico – Sekumpulan saintis mendakwa amalan memakan bawang merah dan bawang putih mentah mampu mengurangkan risiko kanser payudara wanita sehingga 67 peratus, lapor akhbar Daily Mail baru-baru ini.
Penyelidik mengkaji tabiat pemakanan lebih 600 wanita di Puerto Rico di mana kadar kes kanser tersebut meningkat dengan mendadak sejak beberapa puluh tahun lalu.

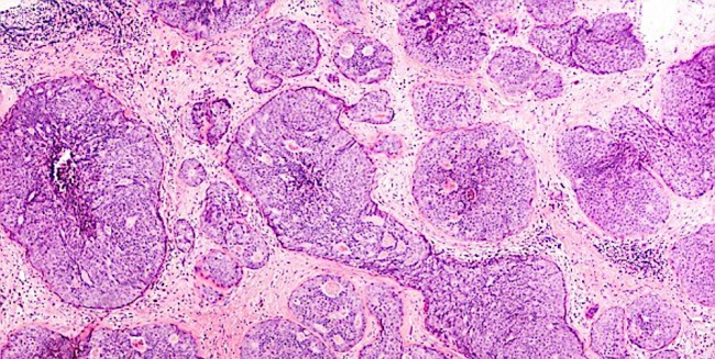
IMEJ menunjukkan sel barah payudara yang dirakam dan diperbesarkan menggunakan mikroskop.
Mereka mendapati wanita yang memakan lebih satu hidangan sos sofrito, iaitu sos berasaskan bawang merah dan bawang putih mentah setiap hari mempunyai kebarangkalian dua pertiga lebih rendah membentuk kanser payudara.
“Bagaimanapun, memakan kedua-dua jenis bawang itu dalam pelbagai bentuk lain tidak memberi manfaat serupa seperti memakannya secara mentah,” lapor kumpulan penyelidik tersebut.
Resipi sofrito berbeza-beza mengikut kawasan tetapi kebiasaannya mengandungi bawang merah dan bawang putih mentah di samping tomato, lada dan daun ketumbar.
Memakan kedua-dua jenis bawang itu secara mentah dianggap satu ciri penting dengan beberapa kajian terdahulu menggambarkan kandungan antioksidan yang melawan kanser dalam sayuran berkenaan akan musnah jika dimasak.
Kajian itu dijalankan secara bersama penyelidik dari Universiti Buffalo di New York dan Universiti Puerto Rico.
“Walaupun keputusan kajian kecil itu sangat menarik, lebih banyak kajian diperlukan sebelum kita boleh membuat rumusan tentang kesan memakan bawang merah dan bawang putih mentah terhadap risiko kanser payudara,” tegas Pengarah Penyelidikan badan amal Breast Cancer Care and Breast Cancer Now, Dr. Simon Vincent. – Agensi






















































![295284-e7lync-200x200[1]](https://wow.macam2.com/wp-content/uploads/2023/06/295284-e7lync-200x2001-1-320x280.jpg)
![301662-rxnv6u[1]](https://wow.macam2.com/wp-content/uploads/2023/06/301662-rxnv6u1-320x280.jpg)
![294733-2f3478-200x200[1]](https://wow.macam2.com/wp-content/uploads/2023/06/294733-2f3478-200x2001-1-320x280.jpeg)
![294846-wfazfk-200x200[1]](https://wow.macam2.com/wp-content/uploads/2023/06/294846-wfazfk-200x2001-1-320x280.jpg)
![294784-hpq9lr-200x200[1]](https://wow.macam2.com/wp-content/uploads/2023/06/294784-hpq9lr-200x2001-1-320x280.jpg)
![301308-w8rssb[1]](https://wow.macam2.com/wp-content/uploads/2023/06/301308-w8rssb1-320x280.jpg)
![302484-cbxzkl-200x200[1]](https://wow.macam2.com/wp-content/uploads/2023/06/302484-cbxzkl-200x2001-1-320x280.jpg)
![295358-v51wss-200x200[1]](https://wow.macam2.com/wp-content/uploads/2023/06/295358-v51wss-200x2001-1-320x280.jpg)
![294641-h1xcdi.jpg[1]](https://wow.macam2.com/wp-content/uploads/2023/06/294641-h1xcdi.jpg1_-320x280.webp)
![295297-udusjq-200x200[1]](https://wow.macam2.com/wp-content/uploads/2023/06/295297-udusjq-200x2001-2-320x280.jpg)
![295024-ia2omj-200x200[1]](https://wow.macam2.com/wp-content/uploads/2023/06/295024-ia2omj-200x2001-1-320x280.jpg)
![294797-bdkwz9-200x200[1]](https://wow.macam2.com/wp-content/uploads/2023/06/294797-bdkwz9-200x2001-1-320x280.jpg)
Ulasan Terkini